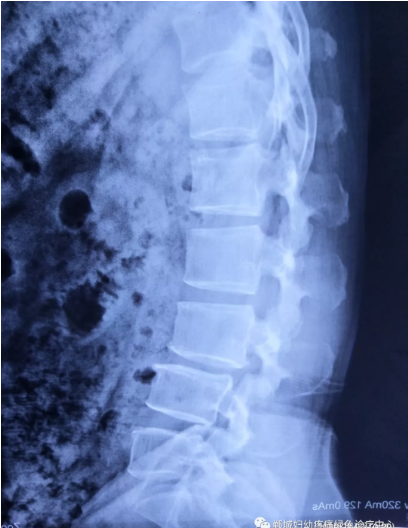
2年前,双楼乡的陈女士不小心摔了一跤后出现腰痛,当时到药店买了膏药来贴,疼痛减轻了一些,但是从此以后反反复复出现腰痛。到处进行治疗,不见好转,最近腰痛加重了,痛得受不了,出现行走后甚至持续的双下肢后侧或后外侧放射性的疼痛麻木、间歇性跛行等症状。陈女士赶忙去医院治疗,做了磁共振检查后确诊为腰椎滑脱、腰椎反弓。医生都告诉她需要手术治疗。随后她又带着片子咨询了好几家医院,结果都是一样,她已经做好了手术的打算。

治疗前
不经意间听到有人说医院疼痛科可以不吃药不打针,用无痛苦、无创伤的方法治疗腰痛。陈女士就抱着试试看的心理来到了郸城县妇幼保健院疼痛科,疼痛科时庆祥主任详细了解病情,结合腰椎磁共振及体征后告诉陈女士她不用手术,通过腰椎脊柱定位周期减压牵引系统(外星舱)也能解决腰痛、腰椎滑脱、腰椎反弓这些问题。陈女士未曾想到经过十五天的治疗后腰部及下肢放射性疼痛症状基本消失。陈女士感到十分激动与感谢,就在当地卫生院做了一个腰椎正侧位x片和之前的片子作对比,发现腰椎滑脱明显改善。她说道:感谢郸城县妇幼保健院疼痛科的所有医护人员、感谢外星舱脊柱减压治好了我的腰痛,也感谢告诉我来这里的人,她的一句话,让我省了好几万元的手术费!

治疗后

外星舱脊柱减压治疗前准备
飞龙医疗外星舱脊柱无创减压治疗方案得到了一次又一次的验证,让更多有腰椎疾患的人避免了手术,脊柱得到康复!咨询热线:0371-55120898。